メーカー完売】プレシジョンディエナR-J レディースモデル ロード - gain r 自転車
メーカー完売】プレシジョンディエナR-J レディースモデル ロード 
Turbine R 35 Stem u2013 Race Face
How Much Can I Increase My FTP - UPDATED 2021 - FTP Performance 
Darling Brew Extreme
Beast of the East MTB Entry Ninja u2013 the best outdoor, fitness 
3T エクスプローロ LTD フラットマウント EXPLORO LTD FM SRAM FORCE1
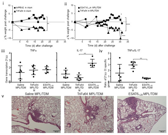
Vaccines Free Full-Text Balance between Protection and 
ストライダー
XB-B06R - GENTOS
サーヴェロ Caledonia この一台で全てを満たすモダンロードの新基準 
Antituberculosis agents bearing the 1,2-disubstituted 
Tahoe Trail
0 Response to "メーカー完売】プレシジョンディエナR-J レディースモデル ロード - gain r 自転車"
Post a Comment